Opéré à cœur ouvert en pleine deuxième vague de COVID-19


Jonathan Tremblay
Le 18 novembre, notre journaliste Jonathan Tremblay recevait l’appel qu’il redoutait depuis des mois. Le 4 décembre, il allait subir une chirurgie cardiaque, alors que le taux de mortalité lié à la COVID-19 grimpait au Québec. Au repos forcé pour plusieurs semaines, il tenait à témoigner de sa mésaventure dans ces conditions des plus particulières pour rendre hommage au personnel de la santé.
Il est 6 h 45. Alité sur une civière, je me laisse pousser à travers les portes du bloc opératoire par une travailleuse de la santé. Avant de me quitter, elle verse une larme. Je viens de lui sangloter l’inquiétude que j’éprouve pour mon père, seul dans son appartement, à moins de 15 minutes de mon anesthésie générale.
La veille, vers 14 h, je laissais seul mon paternel de 64 ans, veuf depuis bientôt neuf ans – ma mère ayant été emportée par la maladie –, à l’entrée de l’Institut de cardiologie de Montréal. Les règlements sanitaires recommandaient qu’il ne m’accompagne pas pour mon admission.
« On se revoit de l’autre bord », ai-je dit sans trop penser.
« Qu’est-ce que tu veux dire ? » m’a-t-il rétorqué en panique.
Je comprenais alors qu’il appréhendait le pire. Je n’en menais pas large non plus.
Avant notre départ de la maison, nous nous sommes serrés dans nos bras avec émotion.
![On me voit ici rechigner alors que la Dre Anne Fournier tente de poser avec moi pour ,[object Object],, en avril 1993.](/_next/image?url=https%3A%2F%2Fm1.quebecormedia.com%2Femp%2Femp%2F63584027_324971febef43f-b877-49d8-b306-b1ef357e8f03_ORIGINAL.jpg&w=3840&q=75)
Son fils unique de 29 ans souffre d’une sténose pulmonaire congénitale, c’est-à-dire qu’il avait la valve pulmonaire du côté droit complètement bloquée à la naissance.
![Une page d’archives du ,[object Object], du 3 avril 1993, où j’apparais entre autres avec mon père Marcel et ma mère Linda.](/_next/image?url=https%3A%2F%2Fm1.quebecormedia.com%2Femp%2Femp%2F63584026_32497079b87730-8564-427e-9acb-b929bc5e460e_ORIGINAL.jpg&w=3840&q=75)
Selon Le Journal du 3 avril 1993 – eh ! oui, j’ai fait l’objet d’un reportage avant d’en rédiger ! – une malformation cardiaque affectait « un enfant sur 100 au Québec ».
J’étais l’un des premiers « bébés bleus » – surnom attribué en raison de la teinte bleuâtre après la naissance –, sur qui une chirurgie à cœur ouvert avait été tentée avec brio dans la province en suivant des méthodes réservées aux patients adultes.
Cela n’avait pas manqué de faire les manchettes. Mon nom fut donc dès lors greffé à la longue liste des « bébés miraculés » qui paraissent dans nos pages.
À cette époque, trois adolescents étaient morts durant leur opération en deux semaines. Et pas moins de 25 % des enfants qui naissaient avec une malformation cardiaque ne soufflaient pas plus d’une quinzaine de bougies avant de s’éteindre.
Or, des centaines d’enfants ont depuis bénéficié de ce type d’intervention. C’est le cas du courageux petit Félix Lachapelle, 14 ans, qui avait déjà subi sept chirurgies, en juillet 2019. L’histoire de cet ado frêle m’était rentrée dedans. Il jurait ne pas avoir bronché une seconde avant sa chirurgie.
Ça joue sur l’humeur...
Bien que je savais depuis ma tendre enfance que de repasser sous le bistouri serait inévitable, cette opération durant laquelle on devait m’installer une valve porcine me terrorisait depuis un an.
Crises de panique, sautes d’humeur, insomnie ; j’ai dû jongler avec tous ces handicaps. J’ai repoussé des projets, puis balancé des relations en l’air, par crainte de mourir. Même si le risque d’y rester est d’à peine 2 %, cette statistique s’avérait déjà trop élevée pour moi.
Il fallait de surcroît que celle-ci survienne en pleine pandémie, au moment où le nombre des décès atteint des sommets vertigineux.
D’abord le test

Deux jours avant de m’allonger sur la table, je me rends dans le stationnement situé derrière la bâtisse, rue Bélanger.
Dans une roulotte mobile, une infirmière me fait passer un test de dépistage du virus préalable à mon admission.
Chaque patient doit obtenir un résultat négatif dans les 24 heures suivantes pour faire son entrée dans l’hôpital « vert ».
Le coton-tige brûle au fond de ma gorge et de ma narine durant une dizaine de secondes. C’est toutefois un moindre mal face à ce qui m’attend.
Je retourne à la maison et patiente.
Après avoir reçu mon résultat, direction l’Institut. Une fois les portes traversées, un comité d’accueil me reçoit.
On me pose des questions usuelles concernant les symptômes de la COVID.
On me désinfecte les mains et me donne un masque, puis je poursuis mon chemin à la station suivante. On me demande ensuite pourquoi je suis ici, et m’indique de me diriger vers le 3e étage.
Finalement, une autre employée m’oblige à me relaver les mains, cette fois à l’aide d’eau et de savon.
Première constatation : tous les patients et employés portent constamment le masque dans les corridors de l’édifice.
Une dose de courage
Cette soirée d’attente est emplie de fébrilité, mais empreinte d’une grande solitude. Les réactions à une publication spontanée sur Facebook m’apportent une dose d’amour et de courage qui m’aident à digérer toute l’information lancée par le personnel dévoué, qui tente de me rassurer, sans grand succès, dois-je avouer.
Après une batterie de tests et une nuit sans sommeil, on entre dans ma chambre vers 5 h 30 pour ma préparation finale.
Une préposée aux bénéficiaires me rase ensuite de la tête (sauf les cheveux) jusqu’aux pieds. Ironique... depuis des mois, je lance à la blague que je dois me faire ouvrir « comme un petit poulet ».
Déplumé, cette boutade prend un tout autre sens. Le seul hic – pour ne pas dire le seul Bic ! – est qu’elle utilise un rasoir à une lame, sans eau ni crème.
Une fois au Bloc, un infirmier ne cache pas sa colère de voir mes jambes à vif.
Il s’empresse de signaler l’évènement et signifie que cela peut compromettre l’intervention. Un rasoir électrique doit être utilisé en tout temps, peste-t-il.
Durant mon séjour à l’hôpital, des infirmières me confient que le plus difficile avec la COVID-19 est de ne pas pouvoir étreindre leurs patients seuls et démunis.
À cet instant précis, quelques secondes à peine avant de fermer les yeux, j’ai plus que jamais besoin de ce réconfort.
On m’amène dans la salle d’opération. Je grelotte. La sympathique anesthésiste m’invite à m’étendre sur la table froide pendant que l’équipe se prépare. Tout devient flou. Les tranquillisants font effet. Je sais que j’ai peur, mais je ne ressens plus rien.
L’intervention est prévue pour plusieurs heures. La chirurgienne à qui je dois la vie, la Dre Nancy Poirier, appelle mon père vers 11 h 30 pour lui annoncer que tout va bien. J’entame avec joie ma convalescence.
Ma journée n’est que vagues souvenirs. Hallucinations et pertes de mémoire suivent à mon réveil aux soins intensifs.
Douleur au dos

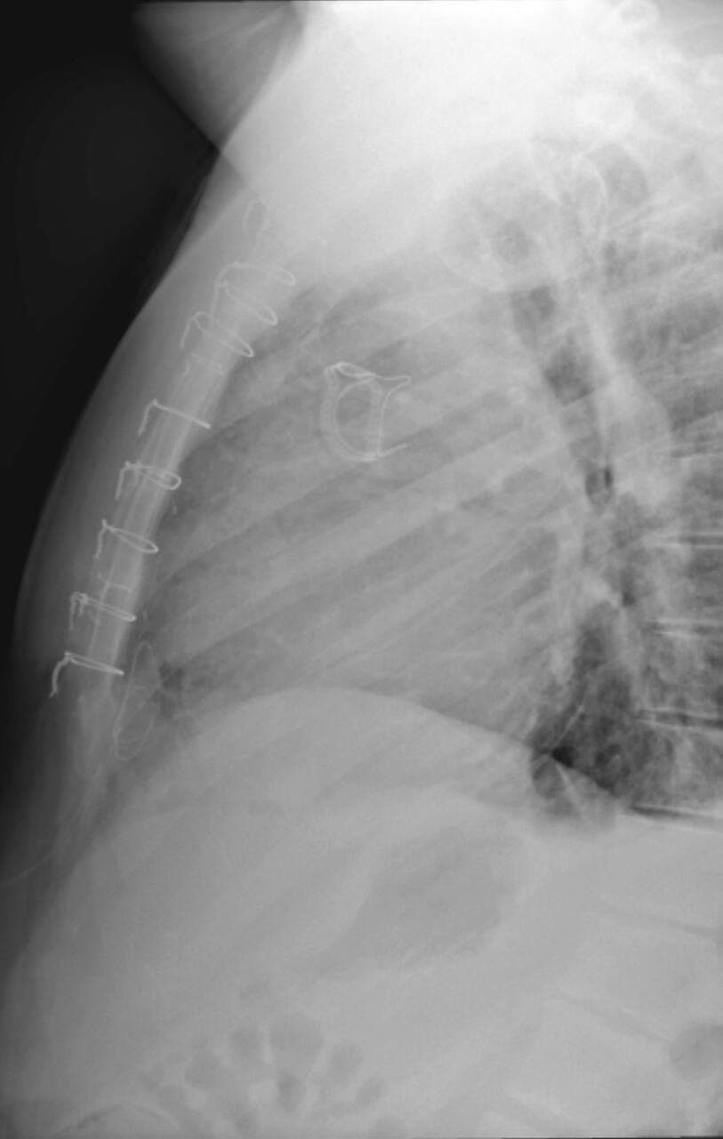
J’ouvre à nouveau les yeux et on prépare mon transfert vers une chambre à l’étage. Cette première journée post-opération pas très haute en rebondissements est marquée par une atroce douleur au dos.
Elle est causée par deux drains d’une douzaine de pouces plantés dans mon ventre.
Mon père peut néanmoins me rendre une première visite. La seule autorisée en raison des mesures sanitaires.
Dès le lendemain, doté d’une énergie tant surprenante qu’inattendue, je cumule les allers-retours dans le corridor, masque au visage, pour me délier les muscles.
Je ne peux m’empêcher de m’arrêter pour discuter avec certains patients. Salutations d’ailleurs à ce lecteur assidu du Journal. Chaque matin, il avait une copie à son chevet, gracieuseté de sa femme.
En trottant ainsi dans le passage, je constate une fois de plus pourquoi l’Institut est à la fine pointe des soins cardiaques.
La frousse
La veille de mon départ, on m’inflige un second test COVID. On me dit qu’un préposé de l’unité a testé positif. J’apprends à force de questions que l’homme infecté m’a accueilli.
Tout à coup, je ne suis plus certain du tout que mes narines sont bouchées à cause de la ventilation sèche du vieux bâtiment. Heureusement, une gentille infirmière m’annonce en après-midi que je n’ai pas la COVID-19. Une semaine plus tard, une éclosion de cas forcera la fermeture d’unités et l’imposition de nouvelles mesures de dépistage auprès des employés.
Entre-temps, après six jours d’hospitalisation, j’obtiens enfin mon congé. Je retourne chez mon père, où je réside pendant le long chemin solitaire de ma guérison. Elle est pénible, sans visiteurs.
Si les Québécois ont été mis au courant dans les dernières semaines qu’ils ne devaient pas se rassembler pour les Fêtes, moi, je le savais depuis longtemps.
Il m’est de plus interdit d’avaler une goutte d’alcool. Par chance, il me reste mon paternel, plus qu’heureux du dénouement.
Soulagement
Qu’adviendrait-il de moi si je contractais le virus, alors que mon système immunitaire est à son plus bas ? Je n’ose même pas l’imaginer. L’idée de tousser à répétition m’effraie. Ce serait un véritable calvaire pour mon sternum « broché ».
Ce premier soir à la maison, l’avide sportif que je suis sort prendre une première vraie bouffée d’air frais. La gorge nouée, je fonds en larmes. C’est enfin terminé !
J’ai alors une pensée pour le personnel soignant de l’Institut de cardiologie, pour son écoute et son humanité. Mais aussi pour tous les professionnels de la santé, qui continuent de livrer le combat.
► Jonathan est toujours en convalescence après cette délicate opération. Il espère revenir en forme au mois de mars.